Dental cavities, often called dental caries, are a common concern that affects patients of all ages. Caused by tooth decay, cavities result from a combination of factors including oral bacteria, frequent consumption of sugary foods, and inadequate oral hygiene. At Richmond Centre Dental Clinic, we are committed to helping patients develop strong oral hygiene routines and preventive habits to minimize the risk of decay. By understanding how cavities form and implementing proper care strategies, patients can significantly improve their long-term oral health. Our mission is to empower you with the education, guidance, and treatments you need to maintain a healthy, beautiful smile.
Causes of Cavities and Dental Decay
Cavities develop when certain conditions in the mouth allow harmful bacteria to thrive. Several factors contribute to the formation of dental decay:
- Bacteria: Naturally occurring bacteria in the mouth produce acids that erode tooth enamel when they feed on sugars and starches left behind after eating.
- Diet: Frequent consumption of sugary or acidic foods and beverages fuels bacteria and accelerates enamel breakdown.
- Poor Oral Hygiene: Inconsistent brushing and flossing allow plaque buildup, leading to hardened tartar and increased cavity risk.
- Dry Mouth: Reduced saliva flow, often due to medications or medical conditions, diminishes the mouth’s ability to neutralize acids and protect teeth.
Together, these factors create an environment that promotes decay. Preventive care such as proper brushing, a balanced diet, and regular dental visits is crucial for minimizing your risk.
Types and Symptoms of Dental Cavities
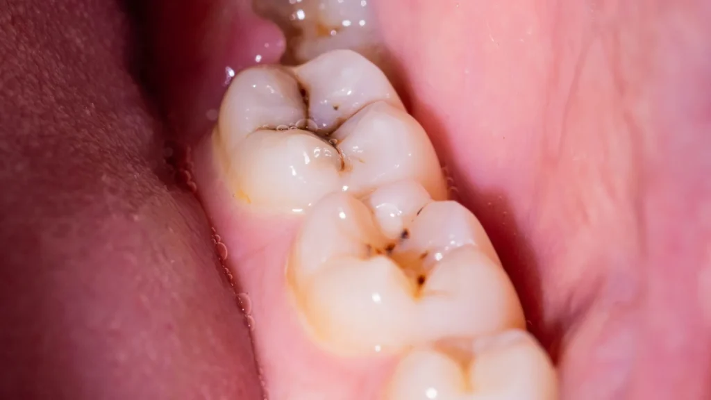
Cavities can present differently depending on their location and severity. Recognizing the signs early helps prevent further damage:
- Smooth Surface Cavities: Form on the flat surfaces of teeth and usually progress slowly.
- Pit and Fissure Cavities: Develop in the grooves of molars and premolars, where food particles often accumulate.
- Root Cavities: Affect the roots of teeth exposed by gum recession and can progress rapidly due to softer dentin.
- Coronal Cavities: Appear on the visible crown of the tooth and are the most common type of cavity.
- Recurrent Cavities: Occur around existing fillings, crowns, or other restorations due to leakage or new bacterial growth.
- Baby Bottle Tooth Decay: Affects infants and toddlers, typically from prolonged exposure to sugary liquids.
Common symptoms of cavities include toothaches, sensitivity to hot or cold, visible holes, discoloration, bad breath, and pain while chewing. Regular dental exams are essential for early detection and less invasive treatment.
Treatments and Prevention Tips
Treating cavities effectively depends on the extent of decay. Some of the common treatments include:
- Fillings: Removal of the decayed area and restoration of the tooth using materials like composite resin or porcelain.
- Crowns: For extensive decay, a crown may be placed to protect and restore the tooth’s strength and appearance.
- Root Canal Therapy: Required when decay reaches the tooth’s pulp, removing infection and saving the natural tooth.
- Tooth Extraction: In cases of severe decay where the tooth cannot be restored, extraction prevents further oral health issues.
Protect Your Smile
Protect your smile and stay ahead of dental decay. Schedule your dental check-up today and invest in your long-term oral health!
Opening Hours
- Monday - Saturday 10:00 am - 6:00 pm
- Sunday11:00 am - 5:00 pm
We always take care of your smile
Richmond Centre Dental Clinic
(604) 276-2442